Welcome to Dr. Sam's Smile Gallery! Each smile requires a comprehensive treatment plan to ensure superior esthetics, function and comfort! All photos below belong to Dr. Sam Ustayev and are an example of his clinical case outcomes. If you are interested in scheduling a consultation, click here to book now.
Explore Dr. Sam's cases including: Porcelain Veneers, Invisalign Clear Aligners, Full Mouth Rehab, Composite Bonding, Dental Implants & more
Smiles By Dr. Sam
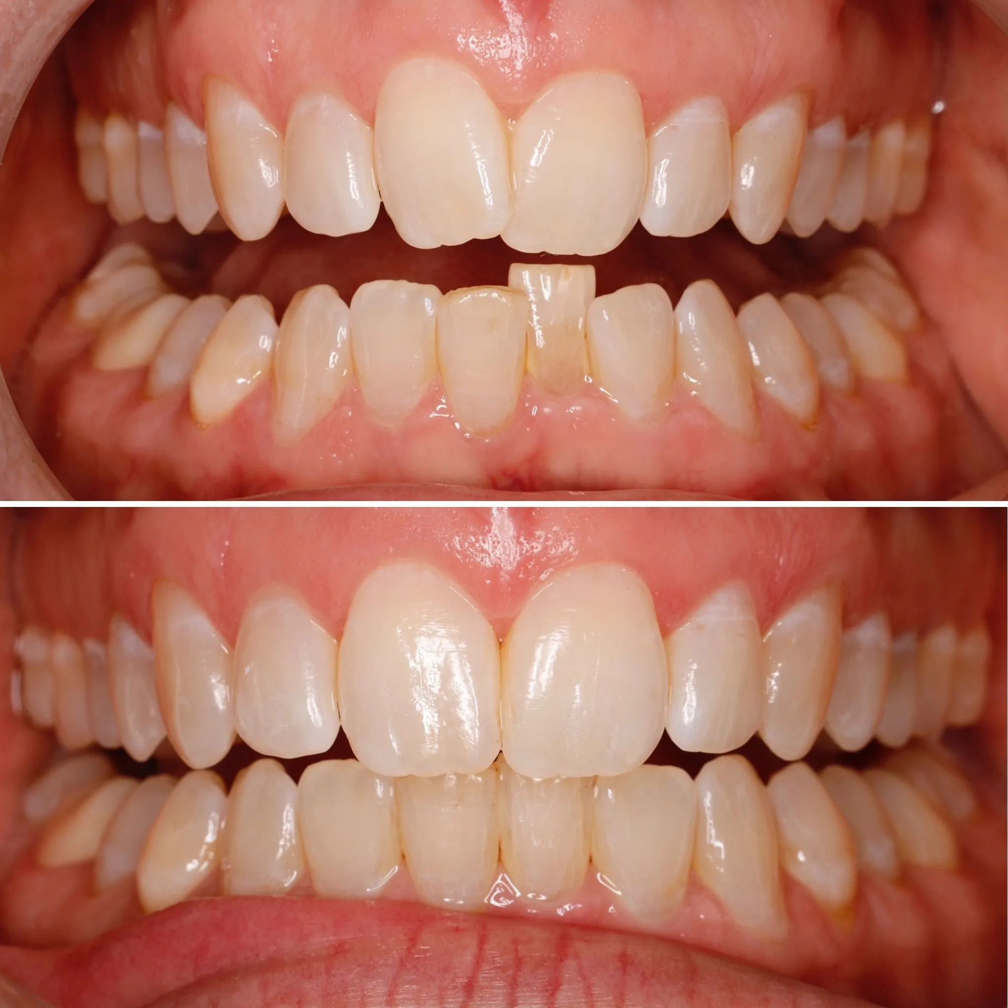
Full Mouth Rehabilitation
The above photos shows years of tooth wear and erosion, temporarily patched over time with composite restorations. The bottom photo reveals the completed result of a meticulous full mouth rehab involving 28th teeth. A truly functional and highly aesthetic outcome for many years to come.
Full Mouth Rehabilitation
The above photos shows years of tooth wear and erosion, temporarily patched over time with composite restorations. The bottom photo reveals the completed result of a meticulous full mouth rehab involving 28th teeth. A truly functional and highly aesthetic outcome for many years to come.
Full Mouth Rehabilitation
The above photos shows years of tooth wear and erosion, temporarily patched over time with composite restorations. The bottom photo reveals the completed result of a meticulous full mouth rehab involving 28th teeth. A truly functional and highly aesthetic outcome for many years to come.
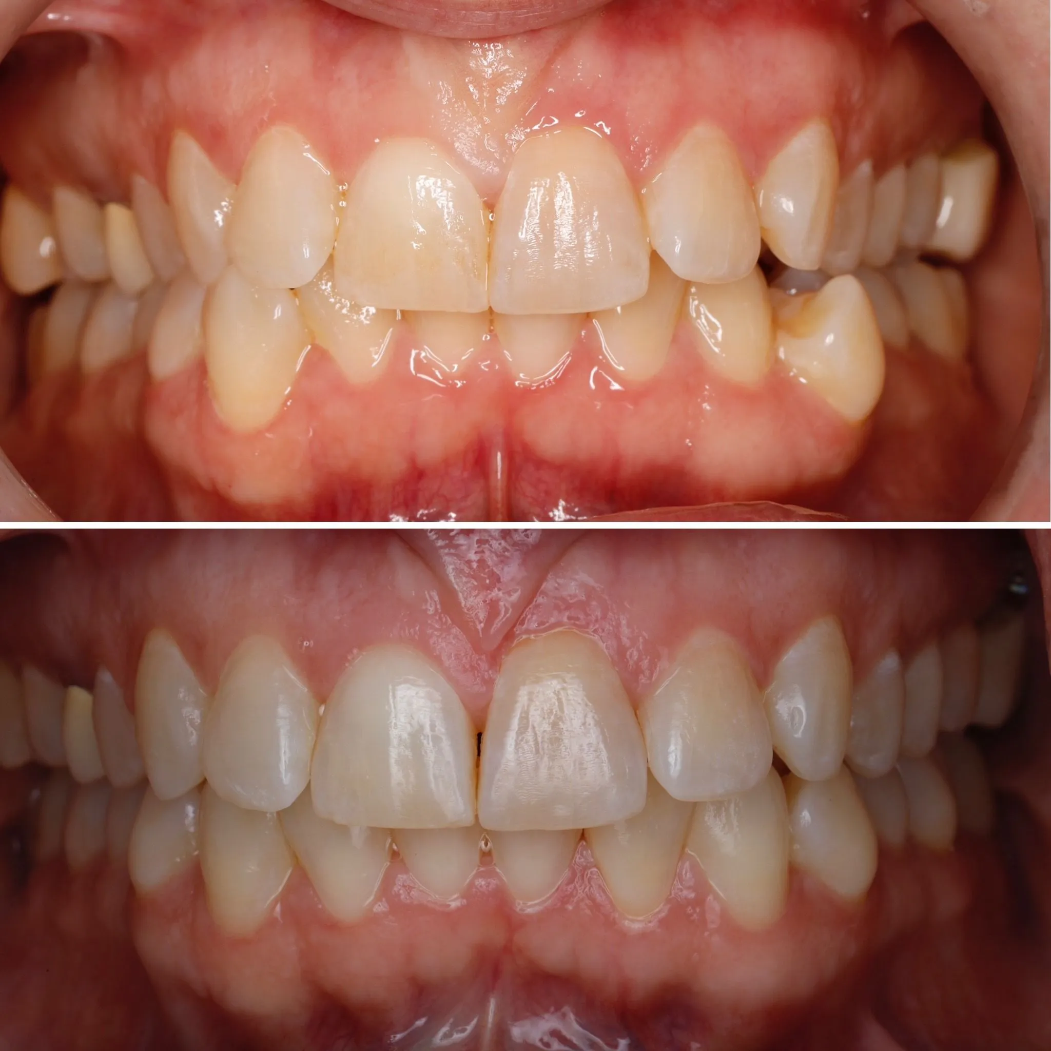
Full Mouth Rehabilitation
This patient presented with severely broken down teeth due to chronic inflammation, decay and severe clenching and grinding. Through a methodical treatment plan, we built his teeth back with porcelain crowns and dental implants for a functional and aesthetic result.
Full Mouth Rehabilitation
This patient presented with severely broken down teeth due to chronic inflammation, decay and severe clenching and grinding. Through a methodical treatment plan, we built his teeth back with porcelain crowns and dental implants for a functional and aesthetic result.
Full Mouth Rehabilitation
This patient presented with severely broken down teeth due to chronic inflammation, decay and severe clenching and grinding. Through a methodical treatment plan, we built his teeth back with porcelain crowns and dental implants for a functional and aesthetic result.
Porcelain Veneers to Enhance the Esthetics and Function
This patient had 4 veneers that did not complement her face; they were discolored and poorly designed. We replaced her existing veneers with 8 highly esthetic porcelain veneers that blend into her natural dentition; a dramatic enhacement to the patients facial esthetics.
Porcelain Veneers to Enhance the Esthetics and Function
This patient had 4 veneers that did not complement her face; they were discolored and poorly designed. We replaced her existing veneers with 8 highly esthetic porcelain veneers that blend into her natural dentition; a dramatic enhacement to the patients facial esthetics.
Porcelain Veneers to Enhance the Esthetics and Function
This patient had 4 veneers that did not complement her face; they were discolored and poorly designed. We replaced her existing veneers with 8 highly esthetic porcelain veneers that blend into her natural dentition; a dramatic enhacement to the patients facial esthetics.
Porcelain Veneers to Enhance the Esthetics and Function
This patient had old and bulky composite veneers that were beginning to break down and stain. We carefully prepared the teeth for 6 beautiful porcelain veneers that seamlessly match the patients facial esthetics. A minimally invasive approach to enhance the smile.
Porcelain Veneers to Enhance the Esthetics and Function
This patient had old and bulky composite veneers that were beginning to break down and stain. We carefully prepared the teeth for 6 beautiful porcelain veneers that seamlessly match the patients facial esthetics. A minimally invasive approach to enhance the smile.
Porcelain Veneers to Enhance the Esthetics and Function
This patient had old and bulky composite veneers that were beginning to break down and stain. We carefully prepared the teeth for 6 beautiful porcelain veneers that seamlessly match the patients facial esthetics. A minimally invasive approach to enhance the smile.
Invisalign + GLO Whitening + Single Crown
This patient had a small front tooth that was bonded multiple times throughout her life, but continued to break. Thorough examination revealed there was insufficient space for a larger tooth. Treatment included Invisalign to correct the spacing issue, followed by whitening and a porcelain crown.
Invisalign + GLO Whitening + Single Crown
This patient had a small front tooth that was bonded multiple times throughout her life, but continued to break. Thorough examination revealed there was insufficient space for a larger tooth. Treatment included Invisalign to correct the spacing issue, followed by whitening and a porcelain crown.
Invisalign + GLO Whitening + Single Crown
This patient had a small front tooth that was bonded multiple times throughout her life, but continued to break. Thorough examination revealed there was insufficient space for a larger tooth. Treatment included Invisalign to correct the spacing issue, followed by whitening and a porcelain crown.
Chipped Teeth Fixed with Advanced Bonding
Small chips and fractures happen all the time. Dr. Sam specializes in aesthetic composite bonding to ensure an undetectable result that will last.
Chipped Teeth Fixed with Advanced Bonding
Small chips and fractures happen all the time. Dr. Sam specializes in aesthetic composite bonding to ensure an undetectable result that will last.
Chipped Teeth Fixed with Advanced Bonding
Small chips and fractures happen all the time. Dr. Sam specializes in aesthetic composite bonding to ensure an undetectable result that will last.
Chipped Tooth Fixed with Advanced Bonding
This patient presented for a same day emergency appointment. She had an accident and chipped her front tooth. With careful attention to detail, we chose a shade that matched her natural tooth color and layered composite bonding for a beautiful result.
Chipped Tooth Fixed with Advanced Bonding
This patient presented for a same day emergency appointment. She had an accident and chipped her front tooth. With careful attention to detail, we chose a shade that matched her natural tooth color and layered composite bonding for a beautiful result.
Chipped Tooth Fixed with Advanced Bonding
This patient presented for a same day emergency appointment. She had an accident and chipped her front tooth. With careful attention to detail, we chose a shade that matched her natural tooth color and layered composite bonding for a beautiful result.
Chipped Teeth Fixed with Advanced Bonding
This patient presented with small chips in her front teeth. By using advanced cosmetic bonding, we were able to restore her teeth to where nature intended them to be. What a beautiful and natural final result!
Chipped Teeth Fixed with Advanced Bonding
This patient presented with small chips in her front teeth. By using advanced cosmetic bonding, we were able to restore her teeth to where nature intended them to be. What a beautiful and natural final result!
Chipped Teeth Fixed with Advanced Bonding
This patient presented with small chips in her front teeth. By using advanced cosmetic bonding, we were able to restore her teeth to where nature intended them to be. What a beautiful and natural final result!
Black Triangle Closure and Aesthetic Bonding
This patient did not like the small dark area between her lower front teeth. She also wanted to correct the length of the upper front teeth, since they were not even. By using advanced composite bonding, we were able to address both of these issues without any drilling on the teeth!
Black Triangle Closure and Aesthetic Bonding
This patient did not like the small dark area between her lower front teeth. She also wanted to correct the length of the upper front teeth, since they were not even. By using advanced composite bonding, we were able to address both of these issues without any drilling on the teeth!
Black Triangle Closure and Aesthetic Bonding
This patient did not like the small dark area between her lower front teeth. She also wanted to correct the length of the upper front teeth, since they were not even. By using advanced composite bonding, we were able to address both of these issues without any drilling on the teeth!
Invisalign + GLO Whitening + Cosmetic Bonding
This patient wanted to make some changes to perfect her smile. We did 4 months of Invisalign to get the teeth in the correct position, followed by a round of in office GLO teeth whitening. We finished with conservative cosmetic bonding to fix the small chips.
Invisalign + GLO Whitening + Cosmetic Bonding
This patient wanted to make some changes to perfect her smile. We did 4 months of Invisalign to get the teeth in the correct position, followed by a round of in office GLO teeth whitening. We finished with conservative cosmetic bonding to fix the small chips.
Invisalign + GLO Whitening + Cosmetic Bonding
This patient wanted to make some changes to perfect her smile. We did 4 months of Invisalign to get the teeth in the correct position, followed by a round of in office GLO teeth whitening. We finished with conservative cosmetic bonding to fix the small chips.
Chipped Teeth Fixed with Advanced Bonding
This patient presented with 2 fractured front teeth. We fixed the teeth with advanced cosmetic bonding in 1 visit. The total procedure time was 40 minutes.
Chipped Teeth Fixed with Advanced Bonding
This patient presented with 2 fractured front teeth. We fixed the teeth with advanced cosmetic bonding in 1 visit. The total procedure time was 40 minutes.
Chipped Teeth Fixed with Advanced Bonding
This patient presented with 2 fractured front teeth. We fixed the teeth with advanced cosmetic bonding in 1 visit. The total procedure time was 40 minutes.
Single Porcelain Crown
This patient had a discolored tooth that bothered him every time he smiled. We used a single porcelain crown to precisely match the shape, size and color of his neighboring teeth to blend seamlessly. We call this undetectable dentistry!
Single Porcelain Crown
This patient had a discolored tooth that bothered him every time he smiled. We used a single porcelain crown to precisely match the shape, size and color of his neighboring teeth to blend seamlessly. We call this undetectable dentistry!
Single Porcelain Crown
This patient had a discolored tooth that bothered him every time he smiled. We used a single porcelain crown to precisely match the shape, size and color of his neighboring teeth to blend seamlessly. We call this undetectable dentistry!
Chipped Tooth Fixed with Advanced Bonding
This patient presented with a small chip in her front tooth. By using advanced cosmetic bonding, we were able to restore her teeth to where nature intended them to be. What a beautiful and natural final result!
Chipped Tooth Fixed with Advanced Bonding
This patient presented with a small chip in her front tooth. By using advanced cosmetic bonding, we were able to restore her teeth to where nature intended them to be. What a beautiful and natural final result!
Chipped Tooth Fixed with Advanced Bonding
This patient presented with a small chip in her front tooth. By using advanced cosmetic bonding, we were able to restore her teeth to where nature intended them to be. What a beautiful and natural final result!
No Prep Composite Bonding
This case involved treating the 4 front teeth with zero prep composite bonding. This means the teeth were not shaved down prior to adding the composite! A very conservative option for a highly aesthetic outcome. What a tremendous result!
No Prep Composite Bonding
This case involved treating the 4 front teeth with zero prep composite bonding. This means the teeth were not shaved down prior to adding the composite! A very conservative option for a highly aesthetic outcome. What a tremendous result!
No Prep Composite Bonding
This case involved treating the 4 front teeth with zero prep composite bonding. This means the teeth were not shaved down prior to adding the composite! A very conservative option for a highly aesthetic outcome. What a tremendous result!
Aesthetic Crowns to Repair Fractured Teeth
This patient presented with fractured front teeth that had been continuously bonded by previous dentists. He had to get these bondings replaced every few years and was looking for a more permanent solution. We treated him with 4 aesthetic crowns that blend nicely with his existing teeth.
Aesthetic Crowns to Repair Fractured Teeth
This patient presented with fractured front teeth that had been continuously bonded by previous dentists. He had to get these bondings replaced every few years and was looking for a more permanent solution. We treated him with 4 aesthetic crowns that blend nicely with his existing teeth.
Aesthetic Crowns to Repair Fractured Teeth
This patient presented with fractured front teeth that had been continuously bonded by previous dentists. He had to get these bondings replaced every few years and was looking for a more permanent solution. We treated him with 4 aesthetic crowns that blend nicely with his existing teeth.
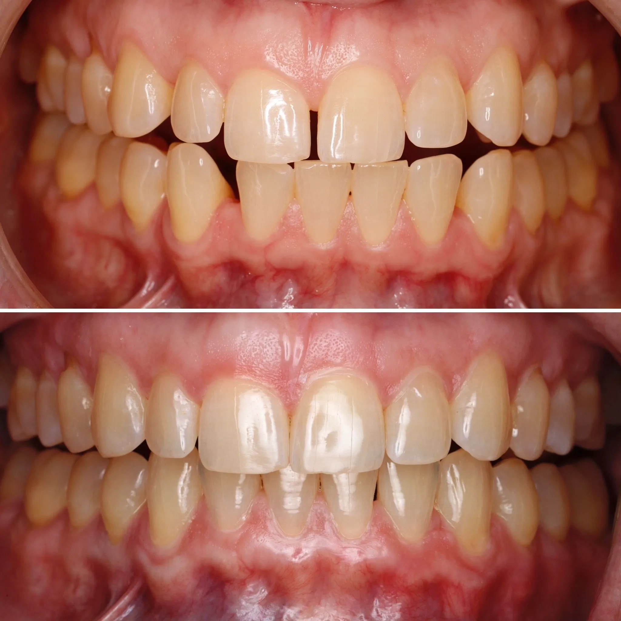
Invisalign, GLO Whitening, and Single Veneer
This patient wanted to correct his smile. We used Invisalign to get the teeth in the correct position, followed by GLO In Office Teeth Whitening and 1 single dental veneer to better match the colors and proportions of the front two teeth.
Invisalign, GLO Whitening, and Single Veneer
This patient wanted to correct his smile. We used Invisalign to get the teeth in the correct position, followed by GLO In Office Teeth Whitening and 1 single dental veneer to better match the colors and proportions of the front two teeth.
Invisalign, GLO Whitening, and Single Veneer
This patient wanted to correct his smile. We used Invisalign to get the teeth in the correct position, followed by GLO In Office Teeth Whitening and 1 single dental veneer to better match the colors and proportions of the front two teeth.
Composite Bonding and Single Veneer
This patient presented with a fractured veneer and recurrent decay around an existing composite bonding. We restored her smile with a brand new porcelain veneer and refreshed composite bondings.
Composite Bonding and Single Veneer
This patient presented with a fractured veneer and recurrent decay around an existing composite bonding. We restored her smile with a brand new porcelain veneer and refreshed composite bondings.
Composite Bonding and Single Veneer
This patient presented with a fractured veneer and recurrent decay around an existing composite bonding. We restored her smile with a brand new porcelain veneer and refreshed composite bondings.
Porcelain Veneers to Restore Severely Fractured Teeth
A conservative approach to restore nature. 3 porcelain veneers were used to harmoniously match the existing dentition and complete a natural end result.
Porcelain Veneers to Restore Severely Fractured Teeth
A conservative approach to restore nature. 3 porcelain veneers were used to harmoniously match the existing dentition and complete a natural end result.
Porcelain Veneers to Restore Severely Fractured Teeth
A conservative approach to restore nature. 3 porcelain veneers were used to harmoniously match the existing dentition and complete a natural end result.
Porcelain Veneers to Enhance Function and Esthetics.
A basketball accident resulted in two broken front teeth. The teeth were fixed with highly esthetic custom porcelain veneers.
Porcelain Veneers to Enhance Function and Esthetics.
A basketball accident resulted in two broken front teeth. The teeth were fixed with highly esthetic custom porcelain veneers.
Porcelain Veneers to Enhance Function and Esthetics.
A basketball accident resulted in two broken front teeth. The teeth were fixed with highly esthetic custom porcelain veneers.
Single Veneer to Enhance Function and Esthetics
This patient disliked his single central incisor due its size, discoloration and unaesthetic appearance. We took a minimally invasive approach and restored his smile with a single veneer which preserves the most amount of natural tooth structure.
Single Veneer to Enhance Function and Esthetics
This patient disliked his single central incisor due its size, discoloration and unaesthetic appearance. We took a minimally invasive approach and restored his smile with a single veneer which preserves the most amount of natural tooth structure.
Single Veneer to Enhance Function and Esthetics
This patient disliked his single central incisor due its size, discoloration and unaesthetic appearance. We took a minimally invasive approach and restored his smile with a single veneer which preserves the most amount of natural tooth structure.
Replacement of a Single Crown to Enhance Function and Esthetics
This patient did not like the appearance of the grey line along the gums from his old porcelain fused to metal crown. To enhance the esthetics, we replaced the old crown with a fully porcelain crown that mimics his natural teeth. A beautiful end result.
Replacement of a Single Crown to Enhance Function and Esthetics
This patient did not like the appearance of the grey line along the gums from his old porcelain fused to metal crown. To enhance the esthetics, we replaced the old crown with a fully porcelain crown that mimics his natural teeth. A beautiful end result.
Replacement of a Single Crown to Enhance Function and Esthetics
This patient did not like the appearance of the grey line along the gums from his old porcelain fused to metal crown. To enhance the esthetics, we replaced the old crown with a fully porcelain crown that mimics his natural teeth. A beautiful end result.
Missing Teeth Replaced with Dental Bridge
This patient presented with missing teeth and heavily stained teeth. This was all due to a habit of smoking. We brought her back to health and brought back her smile with composite bonding and a dental bridge.
Missing Teeth Replaced with Dental Bridge
This patient presented with missing teeth and heavily stained teeth. This was all due to a habit of smoking. We brought her back to health and brought back her smile with composite bonding and a dental bridge.
Missing Teeth Replaced with Dental Bridge
This patient presented with missing teeth and heavily stained teeth. This was all due to a habit of smoking. We brought her back to health and brought back her smile with composite bonding and a dental bridge.
Dental Bridge to Replace Missing Tooth
This patient presented with a missing front tooth. With limited bone and space for a dental implant, we opted to place a 3-unit dental bridge. A seamless and natural result completed in 2 visits.
Dental Bridge to Replace Missing Tooth
This patient presented with a missing front tooth. With limited bone and space for a dental implant, we opted to place a 3-unit dental bridge. A seamless and natural result completed in 2 visits.
Dental Bridge to Replace Missing Tooth
This patient presented with a missing front tooth. With limited bone and space for a dental implant, we opted to place a 3-unit dental bridge. A seamless and natural result completed in 2 visits.
Single Veneer to Enhance Function and Esthetics
Single Veneer to Enhance Function and Esthetics
Single Veneer to Enhance Function and Esthetics
Single Veneer to Enhance Function and Esthetics
Single Veneer to Enhance Function and Esthetics
Single Veneer to Enhance Function and Esthetics
Single Veneer to Restore Fractured Anterior Tooth
Single Veneer to Restore Fractured Anterior Tooth
Single Veneer to Restore Fractured Anterior Tooth
6 Months of Invisalign Treatment + Composite Bonding
We corrected this patients bite and spacing with 6 months of Invisalign. Once the spacing was perfect, we used composite bonding to enhance the esthetics.
6 Months of Invisalign Treatment + Composite Bonding
We corrected this patients bite and spacing with 6 months of Invisalign. Once the spacing was perfect, we used composite bonding to enhance the esthetics.
6 Months of Invisalign Treatment + Composite Bonding
We corrected this patients bite and spacing with 6 months of Invisalign. Once the spacing was perfect, we used composite bonding to enhance the esthetics.
Front Tooth Fracture Fixed with Composite Bonding
Front Tooth Fracture Fixed with Composite Bonding
Front Tooth Fracture Fixed with Composite Bonding
A Single Tooth Composite Veneer to Improve Esthetics and Function
Composite bonding is done in a single visit by layering composite resin onto the existing tooth structure. This is a minimally invasive technique that preserves the most natural tooth structure.
A Single Tooth Composite Veneer to Improve Esthetics and Function
Composite bonding is done in a single visit by layering composite resin onto the existing tooth structure. This is a minimally invasive technique that preserves the most natural tooth structure.
A Single Tooth Composite Veneer to Improve Esthetics and Function
Composite bonding is done in a single visit by layering composite resin onto the existing tooth structure. This is a minimally invasive technique that preserves the most natural tooth structure.
Composite Bonding to Restore Fractured Teeth
Composite bonding was completed to restore fractured teeth.
Composite Bonding to Restore Fractured Teeth
Composite bonding was completed to restore fractured teeth.
Composite Bonding to Restore Fractured Teeth
Composite bonding was completed to restore fractured teeth.
Chipped Tooth Fixed with Advanced Bonding
A front tooth that continued to fracture due to prior failing composite bonding. This was meticulously treated with proper bonding protocols to ensure a long lasting composite bonding that blends beautifully.
Chipped Tooth Fixed with Advanced Bonding
A front tooth that continued to fracture due to prior failing composite bonding. This was meticulously treated with proper bonding protocols to ensure a long lasting composite bonding that blends beautifully.
Chipped Tooth Fixed with Advanced Bonding
A front tooth that continued to fracture due to prior failing composite bonding. This was meticulously treated with proper bonding protocols to ensure a long lasting composite bonding that blends beautifully.
GLO Whitening + Composite Bonding to Enhance Upper Teeth Esthetics
GLO Whitening + Composite Bonding to Enhance Upper Teeth Esthetics
GLO Whitening + Composite Bonding to Enhance Upper Teeth Esthetics
Composite Bonding to Close Black Traingle
This patient presented with a space between his two front teeth which he did not like. We closed this space (or black triangle) with two composite bonding restorations. The teeth were not drilled on prior to adding the composite. An incredibly conservative approach with a huge impact!
Composite Bonding to Close Black Traingle
This patient presented with a space between his two front teeth which he did not like. We closed this space (or black triangle) with two composite bonding restorations. The teeth were not drilled on prior to adding the composite. An incredibly conservative approach with a huge impact!
Composite Bonding to Close Black Traingle
This patient presented with a space between his two front teeth which he did not like. We closed this space (or black triangle) with two composite bonding restorations. The teeth were not drilled on prior to adding the composite. An incredibly conservative approach with a huge impact!
Composite Bonding to Fix Tooth Fractures
Composite Bonding to Fix Tooth Fractures
Composite Bonding to Fix Tooth Fractures
Conservative Composite Bonding to Improve Esthetics and Function
Conservative Composite Bonding to Improve Esthetics and Function
Conservative Composite Bonding to Improve Esthetics and Function
10 Months of Invisalign
We corrected the lower crowding, overall appearance and function of the teeth with 10 months of Invisalign Clear Aligner Treatment. A truly stunning result!
10 Months of Invisalign
We corrected the lower crowding, overall appearance and function of the teeth with 10 months of Invisalign Clear Aligner Treatment. A truly stunning result!
10 Months of Invisalign
We corrected the lower crowding, overall appearance and function of the teeth with 10 months of Invisalign Clear Aligner Treatment. A truly stunning result!
12 Months of Invisalign
This patient did 12 months with Invisalign Clear Aligners to correct her tooth alignment. What a gorgoeus result!
12 Months of Invisalign
This patient did 12 months with Invisalign Clear Aligners to correct her tooth alignment. What a gorgoeus result!
12 Months of Invisalign
This patient did 12 months with Invisalign Clear Aligners to correct her tooth alignment. What a gorgoeus result!
8 Months of Invisalign
We corrected this patients bite as well as closed the spaces that bothered her when she smiled. We used Invisalign Clear Aligners for 8 months to achieve this beautiful result!
8 Months of Invisalign
We corrected this patients bite as well as closed the spaces that bothered her when she smiled. We used Invisalign Clear Aligners for 8 months to achieve this beautiful result!
8 Months of Invisalign
We corrected this patients bite as well as closed the spaces that bothered her when she smiled. We used Invisalign Clear Aligners for 8 months to achieve this beautiful result!
8 Months of Invisalign
We corrected upper and lower crowding along with upper teeth flaring using Invisalign Clear Aligner Therapy. Treatment was completed in 8 months.
8 Months of Invisalign
We corrected upper and lower crowding along with upper teeth flaring using Invisalign Clear Aligner Therapy. Treatment was completed in 8 months.
8 Months of Invisalign
We corrected upper and lower crowding along with upper teeth flaring using Invisalign Clear Aligner Therapy. Treatment was completed in 8 months.
8 Months of Invisalign
8 months of Invisalign clear aligners to achieve this wonderful result.
8 Months of Invisalign
8 months of Invisalign clear aligners to achieve this wonderful result.
8 Months of Invisalign
8 months of Invisalign clear aligners to achieve this wonderful result.
1 Year of Invisalign
1 Year of Invisalign
1 Year of Invisalign
8 Months of Invisalign
We corrected this patients spacing by using Invisalign Clear Aligners. The total treatment time was 8 months. What a lovely result!
8 Months of Invisalign
We corrected this patients spacing by using Invisalign Clear Aligners. The total treatment time was 8 months. What a lovely result!
8 Months of Invisalign
We corrected this patients spacing by using Invisalign Clear Aligners. The total treatment time was 8 months. What a lovely result!
6 Months of Invisalign Treatment
We used Invisalign Clear Aligner Therapy to correct this patients bite and broaden her smile. A beautiful and conservative treatment option that addresses both function and esthetics.
6 Months of Invisalign Treatment
We used Invisalign Clear Aligner Therapy to correct this patients bite and broaden her smile. A beautiful and conservative treatment option that addresses both function and esthetics.
6 Months of Invisalign Treatment
We used Invisalign Clear Aligner Therapy to correct this patients bite and broaden her smile. A beautiful and conservative treatment option that addresses both function and esthetics.
6 Months of Invisalign Treatment
This patient continued to chip her front teeth. Through thorough evaluation we were able to see that she had a constrictive bite that did not give her a full free range of motion. We corrected this with Invisalign to get the teeth in the correct position.
6 Months of Invisalign Treatment
This patient continued to chip her front teeth. Through thorough evaluation we were able to see that she had a constrictive bite that did not give her a full free range of motion. We corrected this with Invisalign to get the teeth in the correct position.
6 Months of Invisalign Treatment
This patient continued to chip her front teeth. Through thorough evaluation we were able to see that she had a constrictive bite that did not give her a full free range of motion. We corrected this with Invisalign to get the teeth in the correct position.
8 Months of Invisalign + GLO Whitening
We completed 8 months of Invisalign treatment followed up with in-office GLO whitening to achieve this stunning result.
8 Months of Invisalign + GLO Whitening
We completed 8 months of Invisalign treatment followed up with in-office GLO whitening to achieve this stunning result.
8 Months of Invisalign + GLO Whitening
We completed 8 months of Invisalign treatment followed up with in-office GLO whitening to achieve this stunning result.
Invisalign Clear Aligners to Correct Crossbite and Crowding
This patient wanted a more youthful smile. We used Invisalign to correct her posterior crossbite, correct her crowding and realign her front teeth. We then replaced her front crown for a beautful esthetic and functional result.
Invisalign Clear Aligners to Correct Crossbite and Crowding
This patient wanted a more youthful smile. We used Invisalign to correct her posterior crossbite, correct her crowding and realign her front teeth. We then replaced her front crown for a beautful esthetic and functional result.
Invisalign Clear Aligners to Correct Crossbite and Crowding
This patient wanted a more youthful smile. We used Invisalign to correct her posterior crossbite, correct her crowding and realign her front teeth. We then replaced her front crown for a beautful esthetic and functional result.
Invisalign Clear Aligner Therapy to Correct Midline and Crowding
This patient presented with severe crowding and a midline shift on her lower dentition. We used Invisalign to fix the crowding and better align her midline. What a nice result!
Invisalign Clear Aligner Therapy to Correct Midline and Crowding
This patient presented with severe crowding and a midline shift on her lower dentition. We used Invisalign to fix the crowding and better align her midline. What a nice result!
Invisalign Clear Aligner Therapy to Correct Midline and Crowding
This patient presented with severe crowding and a midline shift on her lower dentition. We used Invisalign to fix the crowding and better align her midline. What a nice result!
Invisalign Clear Aligner Therapy to Correct Crowding
We used Invisalign to correct crowding and broaden this patients smile. What a nice final result that is both functional and esthetic!
Invisalign Clear Aligner Therapy to Correct Crowding
We used Invisalign to correct crowding and broaden this patients smile. What a nice final result that is both functional and esthetic!
Invisalign Clear Aligner Therapy to Correct Crowding
We used Invisalign to correct crowding and broaden this patients smile. What a nice final result that is both functional and esthetic!
6 Months of Invisalign Treatment to Correct Bite and Teeth Spacing
6 Months of Invisalign Treatment to Correct Bite and Teeth Spacing
6 Months of Invisalign Treatment to Correct Bite and Teeth Spacing
Top: Before Invisalign Bottom: After Invisalgin
Invisalign Clear Aligners Along with Composite Bonding to Enhance Esthetics and Function
Top: Before Invisalign Bottom: After Invisalgin
Invisalign Clear Aligners Along with Composite Bonding to Enhance Esthetics and Function
Top: Before Invisalign Bottom: After Invisalgin
Invisalign Clear Aligners Along with Composite Bonding to Enhance Esthetics and Function
Invisalign + Implants + Bonding + GLO Whitening
Top: Before Treatment
Bottom: Invisalign Clear Aligners, Dental Implants for Missing Teeth, GLO In- Office Whitening, Composite Bonding for Recontouring, Fi
Invisalign + Implants + Bonding + GLO Whitening
Top: Before Treatment
Bottom: Invisalign Clear Aligners, Dental Implants for Missing Teeth, GLO In- Office Whitening, Composite Bonding for Recontouring, Fi
Invisalign + Implants + Bonding + GLO Whitening
Top: Before Treatment
Bottom: Invisalign Clear Aligners, Dental Implants for Missing Teeth, GLO In- Office Whitening, Composite Bonding for Recontouring, Fi
Top: Before Invisalign Bottom: After Invisalign
1 Year of Invisalign Clear Aligners to Correct Teeth Crowding
Top: Before Invisalign Bottom: After Invisalign
1 Year of Invisalign Clear Aligners to Correct Teeth Crowding
Top: Before Invisalign Bottom: After Invisalign
1 Year of Invisalign Clear Aligners to Correct Teeth Crowding
Fractured Tooth Fixed With Composite Bonding In One Visit
Fractured Tooth Fixed With Composite Bonding In One Visit
Fractured Tooth Fixed With Composite Bonding In One Visit
Replacement of Chipped Teeth and Failing Restorations with Conservative Composite Bonding
Replacement of Chipped Teeth and Failing Restorations with Conservative Composite Bonding
Replacement of Chipped Teeth and Failing Restorations with Conservative Composite Bonding
Porcelain Veneers to Enhance Esthetics and Function
Porcelain Veneers to Enhance Esthetics and Function
Porcelain Veneers to Enhance Esthetics and Function
6 Months of Invisalign + GLO Whitening
6 Months of Invisalign + GLO Whitening
6 Months of Invisalign + GLO Whitening
Top: Before Invisalign Bottom: After Invisalgin
6 Months of Invisalign Clear Aligners to correct the bite, crowding and rotated teeth.
Top: Before Invisalign Bottom: After Invisalgin
6 Months of Invisalign Clear Aligners to correct the bite, crowding and rotated teeth.
Top: Before Invisalign Bottom: After Invisalgin
6 Months of Invisalign Clear Aligners to correct the bite, crowding and rotated teeth.
Invisalign Treatment and GLO Whitening
Top: Before Invisalign
Bottom: After Invisalign Treatment and GLO In-Office Whitening
Invisalign Treatment and GLO Whitening
Top: Before Invisalign
Bottom: After Invisalign Treatment and GLO In-Office Whitening
Invisalign Treatment and GLO Whitening
Top: Before Invisalign
Bottom: After Invisalign Treatment and GLO In-Office Whitening
Discolored Tooth Fixed with Composite Bonding
Discolored Tooth Fixed with Composite Bonding
Discolored Tooth Fixed with Composite Bonding
Dental Implants to Restore Missing Teeth
Dental Implants to Restore Missing Teeth
Dental Implants to Restore Missing Teeth
Missing Tooth Replaced with a Dental Implant in the Esthetic Zone
Missing Tooth Replaced with a Dental Implant in the Esthetic Zone
Missing Tooth Replaced with a Dental Implant in the Esthetic Zone
Single Tooth Dental Implant to Replace Missing Tooth
Single Tooth Dental Implant to Replace Missing Tooth
Single Tooth Dental Implant to Replace Missing Tooth
Dental Implant to Restore Missing Tooth
Dental Implant to Restore Missing Tooth
Dental Implant to Restore Missing Tooth
Missing Tooth Replaced with a Dental Implant in the Esthetic Zone
Missing Tooth Replaced with a Dental Implant in the Esthetic Zone
Missing Tooth Replaced with a Dental Implant in the Esthetic Zone
Replacement of Failing Amalgam Restorations with All Porcelain Crowns
Replacement of Failing Amalgam Restorations with All Porcelain Crowns
Replacement of Failing Amalgam Restorations with All Porcelain Crowns
Esthetics and Function Restored with a Combination of Veneers and Porcelain Crowns
Esthetics and Function Restored with a Combination of Veneers and Porcelain Crowns
Esthetics and Function Restored with a Combination of Veneers and Porcelain Crowns
Porcelain Crowns to Enhance Function and Esthetics
Porcelain Crowns to Enhance Function and Esthetics
Porcelain Crowns to Enhance Function and Esthetics
Chipped Front Tooth Fixed with Conservative Composite Bonding
Chipped Front Tooth Fixed with Conservative Composite Bonding
Chipped Front Tooth Fixed with Conservative Composite Bonding
Emergency Treatment Completed with Composite Bonding
Emergency Treatment Completed with Composite Bonding
Emergency Treatment Completed with Composite Bonding
Complete Dentures to Replace Missing Teeth
Complete Dentures to Replace Missing Teeth
Complete Dentures to Replace Missing Teeth
Upper and Lower Dentures Enhancing Esthetics and Function
Upper and Lower Dentures Enhancing Esthetics and Function
Upper and Lower Dentures Enhancing Esthetics and Function
Upper and Lower Complete Dentures
Upper: Old worn out and non functional Complete Denture
Lower: New dentures, improved esthetics and function
Upper and Lower Complete Dentures
Upper: Old worn out and non functional Complete Denture
Lower: New dentures, improved esthetics and function
Upper and Lower Complete Dentures
Upper: Old worn out and non functional Complete Denture
Lower: New dentures, improved esthetics and function
New Upper and Lower Dentures for better Function and Esthetics
New dentures that are secure and the patient is able to function much better.
New Upper and Lower Dentures for better Function and Esthetics
New dentures that are secure and the patient is able to function much better.
New Upper and Lower Dentures for better Function and Esthetics
New dentures that are secure and the patient is able to function much better.
Composite Bonding to Enhance Upper Teeth Esthetics
Composite Bonding to Enhance Upper Teeth Esthetics
Composite Bonding to Enhance Upper Teeth Esthetics
Composite Bonding to Enhance Lower Teeth Esthetics
Composite Bonding to Enhance Lower Teeth Esthetics
Composite Bonding to Enhance Lower Teeth Esthetics
Replacement of Chipped Teeth and Failing Restorations with Conservative Composite Bonding
Replacement of Chipped Teeth and Failing Restorations with Conservative Composite Bonding
Replacement of Chipped Teeth and Failing Restorations with Conservative Composite Bonding